Qu’est-ce que le myélome multiple ?
Le myélome multiple constitue un type de cancer du sang touchant les plasmocytes, un type de globule blanc produit par la moelle osseuse. Ces cellules cancéreuses se multiplient de manière incontrôlée, formant des tumeurs dans les os et empêchant la production de cellules saines. Reconnaissez les symptômes du myélome multiple : douleurs osseuses, fatigue persistante, infections fréquentes et anémie. Envisagez le traitement de cette maladie, qui peut inclure une chimiothérapie, une greffe de moelle osseuse, des médicaments ciblés et des thérapies immunologiques. Évaluez le pronostic du myélome multiple, qui dépend de nombreux facteurs, mais sachez que de nombreux patients peuvent vivre de nombreuses années avec un traitement approprié.
Quels sont les symptômes d’un myélome multiple ?
Le myélome multiple est un type de cancer qui affecte les cellules plasmatiques dans la moelle osseuse. Les symptômes de cette maladie peuvent varier d’une personne à l’autre, mais certains signes courants à surveiller incluent :
- Douleurs osseuses : en particulier au niveau du dos, des côtes, des hanches et du crâne
- Fatigue : due à l’anémie causée par la diminution des globules rouges
- Fractures osseuses : en raison de la fragilité des os affectés par le cancer
- Infections fréquentes : en raison de la suppression du système immunitaire par la maladie
Consultez un médecin si vous présentez ces symptômes, car un diagnostic précoce peut améliorer les chances de traitement et de survie.
Quelles sont les causes d’un myélome multiple ?
Le myélome multiple est une forme de cancer du sang qui affecte les plasmocytes, un type de globules blancs. Bien que les causes exactes restent inconnues, plusieurs facteurs de risque ont été identifiés. Parmi eux, l’âge avancé, l’exposition à des produits chimiques, et des antécédents familiaux de myélome. De plus, certaines maladies préexistantes peuvent augmenter le risque. Voici quelques causes possibles :
- Âge avancé
- Antécédents familiaux
- Exposition à des produits chimiques
- Obésité
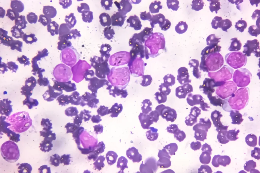
Diagnostic d’un myélome multiple
Le diagnostic d’un myélome multiple repose sur plusieurs examens. D’abord, une analyse sanguine permet de détecter des protéines anormales produites par les plasmocytes. Ensuite, une biopsie de la moelle osseuse est souvent réalisée pour confirmer la présence de cellules myélomateuses. Des examens d’imagerie, comme une IRM ou un scanner, peuvent également être utilisés pour évaluer l’étendue de la maladie. Enfin, des tests génétiques peuvent aider à déterminer le sous-type de myélome et à orienter le traitement.
- Analyse sanguine
- Biopsie de la moelle osseuse
- Examens d’imagerie
- Tests génétiques
Traitement d’un myélome multiple
Le myélome multiple est un cancer des cellules plasmatiques, qui affecte la production d’anticorps. Le traitement vise à réduire la charge tumorale et à améliorer la qualité de vie des patients. Les options thérapeutiques incluent la chimiothérapie, la radiothérapie et les agents ciblés. La greffe de moelle osseuse peut également être envisagée pour certains patients. Un suivi régulier est essentiel pour adapter le traitement en fonction de l’évolution de la maladie.
- Chimiothérapie
- Radiothérapie
- Agents ciblés
- Greffe de moelle osseuse

S.N. est un rédacteur spécialisé dans la santé, travaillant sur le site Doqi.fr, un site d’annuaire et d’actualités axé sur les sujets liés au coronavirus.






